Những người Nhật chọn cách 'bốc hơi' khỏi thế giới
"Biến mất" là cách giải thoát của khoảng 80.000 Nhật mỗi năm để trốn chạy áp lực xã hội, trục trặc gia đình, nợ nần hoặc quá khứ đen tối
Những người Nhật chọn cách 'bốc hơi' khỏi thế giới
"Biến mất" là cách giải thoát của khoảng 80.000 Nhật mỗi năm để trốn chạy áp lực xã hội, trục trặc gia đình, nợ nần hoặc quá khứ đen tối
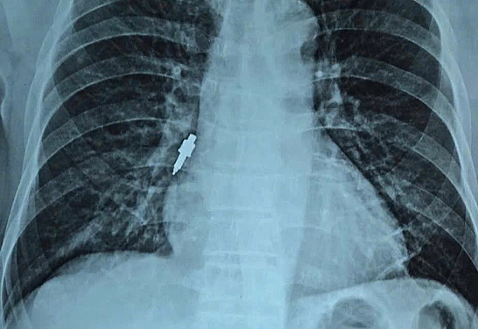
Dụng cụ nha khoa rơi vào đường thở sau khi làm răng
Hà Nội- Sau hai tuần cấy ghép implant tại phòng khám tư, người đàn ông 78 tuổi ho dữ dội, bác sĩ Bệnh viện Hữu Nghị phát hiện một dụng cụ kim loại kẹt sâu trong phế quản.
Cạn trứng như sắp mãn kinh dù mới 27 tuổi
TP HCM- Cô gái 27 tuổi suy sụp khi dự trữ buồng trứng còn 0,2 ng/mL, tương tự chỉ số của người sắp mãn kinh, bác sĩ nỗ lực tìm cơ hội để bệnh nhân được làm mẹ với một trứng duy nhất.
Chiến lược bơm tiền gom bất động sản của Chanel
Đối diện doanh thu giảm 4,3% vào 2024, Chanel kiên trì chiến lược thâu tóm bất động sản và định mở thêm 48 cửa hàng mới năm nay.
Nghi phạm phóng hỏa 4 kiốt ở Bắc Giang bị bắt
Sau hai ngày lẩn trốn, Nguyễn Văn Thụ bị bắt để điều tra cáo buộc phóng hỏa 4 kiốt tại chợ My Điền 2, gây thiệt hại khoảng 13 tỷ đồng.
Miền Bắc và Bắc Trung Bộ mưa lớn trở lại
Từ chiều 28/5, miền Bắc và Bắc Trung Bộ mưa lớn do ảnh hưởng của không khí lạnh, nguy cơ xảy ra sạt lở đất ở vùng núi, lũ quét vùng ven sông, suối.
Ù tai - dấu hiệu liên quan mất thính lực
Ù tai khi nghe nhạc quá lớn, dự bữa tiệc ồn ào và tình trạng kéo dài không dứt có thể là dấu hiệu liên quan đến mất thính lực.
Thaco đề xuất đầu tư đường sắt tốc độ cao Bắc - Nam hơn 61 tỷ USD
Thaco đề xuất đầu tư dự án đường sắt tốc độ cao Bắc - Nam với tổng vốn hơn 1,5 triệu tỷ đồng (hơn 61 tỷ USD), cam kết tự thu xếp 20% vốn, phần còn lại vay các tổ chức tín dụng trong và ngoài nước.
'Ảo tưởng sức mạnh' nói thế nào bằng tiếng Anh?
Tiếng Anh có từ "arrogant" để chỉ người kiêu ngạo, song cách dùng phổ biến là "full of (one) self", "stay humble", "stay grounded"...
Thí sinh FPT Hackathon 2025 giải bài toán về AI và logistics thông minh
Trường Đại học FPT tổ chức cuộc thi FPT Hackathon 2025 với quy mô toàn quốc, tạo sân chơi cho tài năng trẻ giải bài toán về AI và logistics thông minh.