Bướu mỡ 8 kg suýt làm hỏng thận người đàn ông
2025-05-15 HaiPress
Ngày 14/5,BS.CK2 Nguyễn Phúc Minh,Trưởng Khoa Ngoại tiêu hóa,Bệnh viện Bình Dân,cho biết khối bướu đường kính 40 cm,cấu trúc tương đồng với mô mỡ,chiếm gần toàn bộ ổ bụng và bao quanh thận phải. Điều nghiêm trọng là bướu dính và chèn ép các mạch máu lớn như động mạch,tĩnh mạch chủ bụng và các mạch máu lân cận làm suy giảm chức năng thận.
"Nếu không phẫu thuật,khối bướu sẽ chèn ép xung quanh,dẫn đến những biến chứng như thận ứ nước,tắc ruột và nguy hiểm tính mạng",bác sĩ nói.

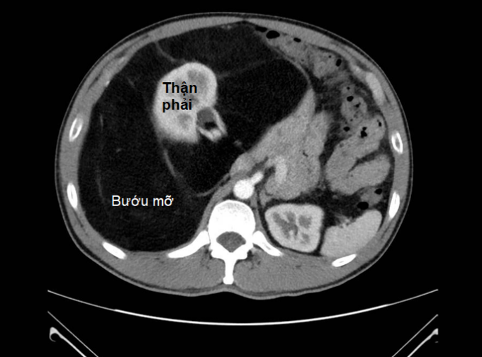
CT bụng cho thấy bướu choán toàn ổ bụng,thận phải đã bị bướu mỡ bao xung quanh. Ảnh: Bệnh viện cung cấp
Các êkíp từ nhiều chuyên khoa phối hợp mổ bóc bướu. Trong đó,bác sĩ ngoại tổng quát và tiết niệu loại bỏ khối bướu dây dính sau phúc mạc,bảo tồn thận phải. Các bác sĩ mạch máu bóc tách các mạch máu để giảm tổn thương và tránh mất máu. Việc gây mê hồi sức cũng được tính toán kỹ để đảm bảo an toàn.
Sau cuộc mổ kéo dài hơn 5 giờ,bệnh nhân hồi phục thuận lợi. Trước đó,bệnh nhân tưởng các cơn đau vùng bụng là do đặc thù công việc lái xe và sở thích uống bia. Chỉ đến khi bụng căng cứng,nhô hẳn về phía trước và hai bên hông,anh mới đi khám. Lúc bác sĩ chỉ định phẫu thuật,hai vợ chồng lo sợ,khóc rất nhiều.
"Tôi rất bất ngờ,không thể tưởng tượng được trong bụng có khối bướu nặng 8 kg",bệnh nhân nói.

Các bác sĩ thăm khám bệnh nhân trước khi xuất viện. Ảnh: Trần Nhung
Bướu mỡ (Liposarcoma) là bệnh lý ác tính hiếm gặp. Tỷ lệ mắc trong cộng đồng ước tính khoảng 0,3% đến 0,4% trên 100.000 người. Bướu mỡ có thể phát triển ở nhiều nơi trong cơ thể,phổ biến nhất là ở các chi và sau phúc mạc. Phương pháp điều trị thường là phẫu thuật cắt bỏ tận gốc khối bướu.
Bệnh viện Bình Dân cũng từng tiếp nhận những bệnh nhân bướu mỡ,bướu sau phúc mạc âm thầm lớn dần trong bụng. Trường hợp ấn tượng nhất là người bệnh 27 tuổi,mang thai 15 tuần,khối bướu lớn có đường kính khoảng 40 cm chèn ép trực tiếp vào tử cung,gây nguy hiểm thai nhi. Các bác sĩ phẫu thuật lấy ra khối bướu nặng hơn 5 kg,thai kỳ bệnh nhân tiến triển tốt và sinh con sau đó.
Các bác sĩ khuyến cáo nên kiểm tra sức khỏe định kỳ,mỗi năm ít nhất một lần. Đối với những trường hợp có khối choán chỗ,siêu âm bụng có thể giúp phát hiện và điều trị sớm,tránh được những biến chứng phức tạp.
Lê Phương