Phát hiện lao phổi khi khám sức khỏe dù không ho
2024-12-06 HaiPress
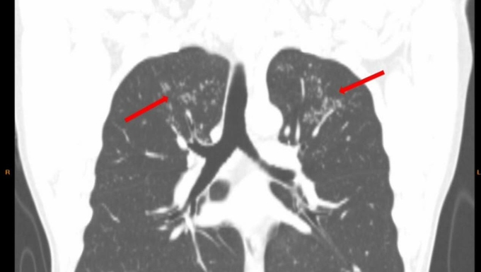
Ngày 6/12,BS.CK2 Cao Thị Hồng,Phó khoa Chăm sóc sức khỏe theo yêu cầu,phụ trách Trung tâm kiểm tra sức khỏe Chợ Rẫy Việt - Nhật (HECI),cho biết CT ngực liều thấp phát hiện có hình ảnh tổn thương ở thùy trên phổi. Tầm soát chuyên sâu về lao cho kết quả dương tính. Bệnh nhân được điều trị theo phác đồ bệnh lao khoảng 3 tháng nay,không còn triệu chứng ớn lạnh nhẹ về chiều.

Hình ảnh tổn thương dạng nụ trên cành ở thùy trên hai phổi bệnh nhân. Ảnh: Bệnh viện cung cấp
Các triệu chứng thường gặp của bệnh lao có thể nhẹ kéo dài trong nhiều tháng như ho kéo dài (đôi khi có thể có máu),đau ngực,mệt mỏi,sụt cân,sốt,đổ mồ hôi về đêm... Một số trường hợp bệnh lại không có bất kỳ triệu chứng nào,vì vậy rất dễ lây bệnh lao cho người khác mà không biết.
Biểu hiện bệnh cũng dễ gây nhầm lẫn với các bệnh đường hô hấp khác. Đơn cử,người đàn ông 33 tuổi ho đàm kéo dài hơn một năm,khám và điều trị bệnh hô hấp ở nhiều cơ sở y tế không cải thiện. Tại Chợ Rẫy,bệnh nhân được chụp phổi,kiểm tra đàm,phát hiện bệnh lao. Sau một tháng dùng thuốc,bệnh nhân không còn ho đàm,được tiếp tục phác đồ 6 tháng điều trị lao.
Bệnh lao do vi khuẩn Mycobacterium tuberculosis gây ra,thường ảnh hưởng đến phổi. Đến nay,bệnh này vẫn là một trong những bệnh truyền nhiễm gây tử vong hàng đầu trên thế giới. Bệnh hiện diện ở tất cả các quốc gia,có thể xảy ra ở mọi nhóm tuổi. Một số nghiên cứu phát hiện lao cũng có thể lây lan thụ động qua hơi thở bệnh nhân,ngay cả khi họ không có triệu chứng.
Hồi tháng 10,Tổ chức Y tế Thế giới (WHO) cho biết toàn cầu ghi nhận 8,2 triệu ca lao mới vào năm ngoái,mức cao nhất từ khi bệnh này được theo dõi từ năm 1995. Số ca nhiễm tăng cao khiến lao trở thành bệnh truyền nhiễm chết chóc nhất trong năm 2023,vượt qua Covid-19,với 1,25 triệu người qua đời. Người đứng đầu WHO cho rằng "bệnh lao vẫn khiến nhiều người tử vong là một thực tế thật đáng buồn,bởi chúng ta có đủ công cụ để phòng ngừa,phát hiện và điều trị bệnh".
Việt Nam ghi nhận hơn 106.000 ca mắc lao năm ngoái,11.000 người tử vong do bệnh này,nhiều gấp đôi so với số tử vong do tai nạn giao thông. Nước ta hiện đứng thứ 11 trong số 30 quốc gia có gánh nặng bệnh lao và lao kháng thuốc cao nhất thế giới. Dữ liệu từ Chương trình Chống lao Quốc gia Việt Nam cho thấy gần 40% số người mắc lao trong cộng đồng chưa được phát hiện,điều trị hoặc báo cáo.

Bệnh nhân khám sức khỏe định kỳ. Ảnh: Bệnh viện cung cấp
Theo bác sĩ Hồng,tầm soát sức khỏe định kỳ cũng góp phần phát hiện bệnh ở giai đoạn sớm và chưa có biểu hiện triệu chứng. Phát hiện sớm và điều trị kịp thời góp phần giúp ngăn ngừa các di chứng tại phổi (tràn khí,tràn dịch màng phổi,xơ phổi) cũng như giảm nguy cơ tử vong cho người bệnh. Nhóm có nguy cơ cao mắc bệnh lao phổi cần chú ý là người bệnh đái tháo đường,suy giảm hệ thống miễn dịch,suy dinh dưỡng,hút thuốc lá,uống nhiều bia rượu.
Lê Phương