Nhồi máu cơ tim bởi thói quen hút thuốc 'giảm căng thẳng'
2024-11-05 HaiPress
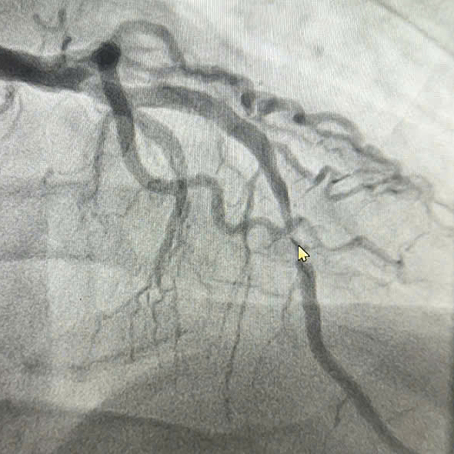
Ngày 5/11,đại diện Bệnh viện Đa khoa Hùng Vương cho biết người bệnh tiền sử tăng huyết áp,có thói quen hút thuốc lá để giảm căng thẳng. Khi vào viện,bệnh nhân đau ngực dữ dội. Từ kết quả điện tim và triệu chứng lâm sàng,bác sĩ chẩn đoán nhồi máu cơ tim cấp,động mạch liên thất trước (LAD) bị hẹp tới 99% do huyết khối.
Nhận định tình trạng khẩn cấp,êkíp can thiệp đặt một stent phủ kín vùng tổn thương để dòng chảy qua động mạch vành của bệnh nhân tái thông. Sau can thiệp,tình trạng đau ngực giảm rõ rệt.

Hình ảnh động mạch hẹp trước khi can thiệp. Ảnh: Bệnh viện cung cấp
Nhồi máu cơ tim là bệnh lý nguy hiểm,tỷ lệ tử vong trên 70%. Bệnh có thể xảy ra đột ngột khi đang ngủ,chơi hay làm việc và có xu hướng ngày càng trẻ hóa. Theo Hiệp hội tim mạch Mỹ,tỷ lệ mắc nhồi máu cơ tim cấp ở người bệnh trẻ,dưới 45 tuổi,tăng dần theo thời gian,chiếm 6-10% tổng số người bệnh nhồi máu cơ tim cấp. Đây là nguyên nhân quan trọng gây bệnh và tử vong ở người trẻ tuổi trên toàn thế giới.
Biểu hiện nhồi máu cơ tim ở người trẻ và người lớn tuổi tương đối giống nhau. Triệu chứng điển hình là đau nặng ngực,đau giữa ngực,sau xương ức hoặc hơi lệch trái,cảm giác nặng,bóp nghẹt,siết chặt,đè,có khi lan ra tay trái,xuống bụng vùng trên rốn. Thời gian đau ngực thường trong khoảng 20-30 phút hoặc dài hơn. Người bệnh có thể vã mồ hôi,khó thở và bất tỉnh.
Các triệu chứng thay đổi tùy theo tuổi,giới tính,vùng mạch máu bị tổn thương và những bệnh lý khác đi kèm. Tuy nhiên,nhóm người trẻ tuổi bị nhồi máu cơ tim thường ít liên quan đến các bệnh lý mạn tính,nguyên nhân chủ yếu là thừa cân,ít vận động,stress,lạm dụng thuốc lá,rượu bia.
Khói thuốc lá chứa hơn 4.000 thành phần hóa học,trong đó có hàng trăm thành phần gây hại sức khỏe. Theo Tổ chức Y tế thế giới (WHO),khói thuốc lá là yếu tố nguy cơ chính gây các bệnh lý tim mạch như bệnh mạch vành,tăng huyết áp,hô hấp,hơn 20 bệnh ung thư và nhiều bệnh khác.
Để giảm nguy cơ,cần có chế độ ăn uống hợp lý,hạn chế ăn mỡ,da động vật,gan,thức ăn nhanh. Tích cực tập luyện thể thao,hạn chế bia rượu và các chất kích thích. Người trẻ không nên chủ quan nghĩ rằng nhồi máu cơ tim chỉ xuất hiện ở người lớn tuổi mà bỏ qua các dấu hiệu bệnh,dẫn đến những biến chứng nghiêm trọng.
Thúy Quỳnh