Mổ u thân não cho nam thanh niên
2024-10-28 HaiPress
"Tổn thương trong thân não lớn hay nhỏ đều gây nguy hiểm đến tính mạng,đây thuộc vùng sâu nhất của não tính từ hộp sọ",ThS.BS.CKII Mai Hoàng Vũ,khoa Phẫu thuật Thần kinh,Trung tâm Khoa học Thần kinh,Bệnh viện Đa khoa Tâm Anh TP HCM,nói hôm 28/10.
Khối u đã được phát hiện từ 6 năm trước,bác sĩ đánh giá khó mổ,anh Bạch điều trị bằng xạ phẫu Gamma Knife. Gần một năm nay triệu chứng ngày càng nặng hơn,anh uống thuốc giảm đau không bớt. Kết quả chụp MRI 3 Tesla sọ não kết hợp chụp bó sợi thần kinh (DTI) tại Bệnh viện Tâm Anh ghi nhận khối u kích thước 1,5 cm,nằm trong thân não.
Theo bác sĩ Vũ,thân não là bộ phận kết nối giữa não và tủy sống,nằm sâu trong hộp sọ,ngay xung quanh có nhiều bó sợi thần kinh,mạch máu và cấu trúc não quan trọng khác. Thân não có kích thước nhỏ nhưng cấu trúc phức tạp,chi phối hầu hết chức năng sự sống của con người như nhịp tim,nhịp thở,lưu lượng máu,nồng độ oxy và carbon dioxide...
Khối u mạch máu ở thân não của anh Bạch có nguy cơ chảy máu dẫn tới đột quỵ xuất huyết não. U càng để lâu sẽ tăng kích thước,mức độ chèn ép các bó sợi thần kinh và cấu trúc não lành xung quanh càng tăng,nguy cơ tử vong đột ngột. U mạch máu của anh Bạch có cấu trúc không đồng đều,khi mổ nguy cơ cao chảy máu khó cầm hoặc phạm phải các bó sợi thần kinh bên cạnh gây suy hô hấp,ngừng tim đột ngột.

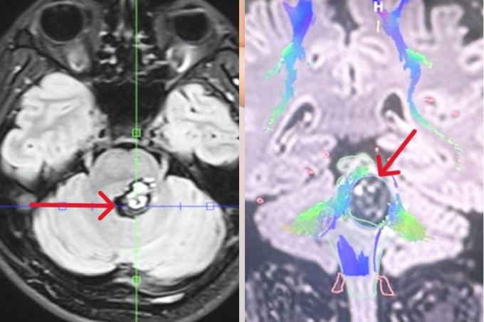
Khối u não của anh Bạch trên hình chụp MRI 3 Tesla (hình trái),bao quanh có nhiều bó sợi thần kinh (màu xanh,hình phải) trên hình chụp DTI. Ảnh: Bệnh viện Đa khoa Tâm Anh
Các bác sĩ hội chẩn đa khoa quyết định sử dụng robot mổ não ứng dụng trí tuệ nhân tạo (AI) Modus V Synaptive cùng các thiết bị hiện đại cho ca phẫu thuật. Trước mổ một ngày,robot hòa hình MRI,DTI sọ não của bệnh nhân,giúp bác sĩ thấy rõ toàn diện cấu trúc thân não,phạm vi khối u,các bó sợi thần kinh và mô não lành trên cùng một hình ảnh 3D. Êkíp mổ mô phỏng trên phần mềm chuyên dụng của robot,chủ động chọn vị trí mở sọ,đường đi vào não tiếp cận u an toàn,không làm tổn thương cấu trúc thân não,các bó dẫn truyền thần kinh và mô não lành xung quanh.
Quá trình mổ,bác sĩ mở đường mổ từ phía sau gáy bệnh nhân đi vào vỏ não và thân não,tiếp cận khối u. Hệ thống định vị thần kinh Neuro-Navigation AI hướng dẫn mọi thao tác của phẫu thuật viên,tránh nguy cơ tổn thương thân não và các bó sợi thần kinh xung quanh.

Êkíp sử dụng robot mổ não phẫu thuật cho anh Bạch. Ảnh: Bệnh viện Đa khoa Tâm Anh
Hai kỹ thuật ghi điện thế gợi vận động và điện thế gợi cảm giác của hệ thống theo dõi sinh lý thần kinh trong phẫu thuật (IONM),hỗ trợ bác sĩ kiểm soát toàn bộ hệ thống thần kinh. Khi sóng điện thế thần kinh giảm sâu,êkíp điều chỉnh hoặc tạm dừng để các bó sợi thần kinh được nghỉ ngơi,tự phục hồi tín hiệu thần kinh,giúp người bệnh tránh nguy cơ khiếm khuyết chức năng thần kinh,đảm bảo an toàn cả trong và sau mổ.
Êkíp phối hợp robot mổ não và hệ thống kính vi phẫu K.Zeiss Kinevo 900 có chức năng chụp huỳnh quang 3D thế hệ mới giúp xác định rõ ranh giới,đánh giá mức độ tưới máu của khối u. Từ đó bác sĩ thận trọng thao tác,vừa loại bỏ được hết u vừa ngăn nguy cơ chảy máu và bỏ sót u. Quá trình bóc tách,loại bỏ u,êkíp còn theo dõi sát sự thay đổi nhịp tim và huyết áp của người bệnh,có phương án điều chỉnh kịp thời,tránh nguy cơ suy hô hấp,rối loạn nhịp tim đột ngột,đe dọa tính mạng.
Sau ba giờ,khối u mạch máu thể hang trong thân não của anh Bạch được loại bỏ hoàn toàn,bảo tồn được tối đa chức năng thần kinh.
Hậu phẫu,anh phục hồi sức khỏe tốt,chức năng vận động và cảm giác tốt,có thể đi đứng,nói chuyện bình thường. Tình trạng chóng mặt được cải thiện nhưng chưa khỏi hẳn. Bác sĩ chỉ định điều trị nội khoa,kết hợp tập vật lý trị liệu. 4 ngày tiếp theo,anh được xuất viện và tái khám một tuần sau.
Kết quả giải phẫu xác định u mạch máu thể hang lành tính. Theo bác sĩ Vũ,ca mổ đã loại bỏ hết u nên anh Bạch không cần điều trị bổ sung. Riêng tình trạng chóng mặt cần điều trị nội khoa,kết hợp tập vật lý trị liệu 3-6 tháng sẽ giảm dần tần suất và cường độ,từng bước cải thiện sức khỏe và chất lượng sống cho người bệnh.
Trường Giang
*Tên người bệnh đã được thay đổi
Độc giả đặt câu hỏi về bệnh thần kinh tại đây để bác sĩ giải đáp