Close

Tiến sĩ Việt phát triển công nghệ tạo thuốc diệt tế bào ung thư

2024-09-04 HaiPress

Từ năm 2000,nhiều nhóm nghiên cứu trên thế giới bắt đầu chạy đua nghiên cứu tạo phức hợp alpha lactalbumin-oleic acid (còn gọi là HAMLET/BAMLET - chất có trong sữa mẹ) cho sản xuất thuốc chống lại bệnh ung thư. Chất này vốn được phát hiện bởi nhóm nghiên cứu của GS Catharina Svanborg (Đại học Lund,Thụy Điển) vào năm 1995,đã được chứng minh có khả năng tiêu diệt tế bào ung thư mà không gây hại cho tế bào/mô khỏe mạnh. Tuy nhiên các nhóm nghiên cứu mới chỉ tạo được phức hợp HAMLET ổn định trong thời gian ngắn,quy mô phòng thí nghiệm.

Nhóm nghiên cứu của TS Trần Thị Hiền,40 tuổi,cùng với giáo sư Catharina Svanborg trở thành nhóm đầu tiên thành công tìm ra quy trình tạo phức hợp đưa vào thử nghiệm lâm sàng và quy mô sản xuất công nghiệp.

Điểm độc đáo của phức hợp này là có thành phần alpha lactalbumin - một protein tìm thấy trong sữa mẹ hoặc sữa bò - nên an toàn cả với trẻ sơ sinh. Phức hợp đặc hiệu chỉ trên tế bào ung thư hay tế bào nhiễm virus/vi khuẩn gây bệnh,không gây ra độc tính và tác dụng phụ như các thuốc hóa trị,xạ trị thường thấy khác.

Nghiên cứu mở ra hướng mới trong điều trị ung thư an toàn và hiệu quả khi phối hợp với các liệu pháp thông thường. "Đây là khác biệt lớn nhất so với các thuốc ung thư hiện nay,khiến chúng trở thành ứng viên tiềm năng cho các phương pháp điều trị bệnh",TS Hiền nói với VnExpress từ Thụy Điển.

TS Trần Thị Hiền trong phòng thí nghiệm. Ảnh: NVCC

Nghiên cứu này được TS Hiền và cộng sự bắt tay thực hiện từ năm 2015. Sau gần 10 năm,họ tìm được quy trình tạo dạng hoạt động ổn định của phức hợp trên quy mô công nghiệp. Từ kết quả đó phát triển bào chế có tính khả thi thực hiện sản xuất được trên các dây chuyền nhà máy đạt GMP và đưa ra phương pháp đánh giá tác dụng tiêu diệt ung thư của thuốc sau khi sản xuất.

Hiện nhóm đã thành công trên nghiên cứu tiền lâm sàng phức hợp HAMLET trong điều trị và dự phòng với các bệnh ung thư đại trực tràng,gan,dạ dày,phổi,vú,cổ tử cung,tuyến tiền liệt,hạch bạch huyết,vòm họng,khoang miệng,da... với các dạng bào chế khác nhau. Giai đoạn thử nghiệm phase 3 lâm sàng do FDA phê duyệt với ung thư bàng quang và giai đoạn 1 của ung thư não ác tính.

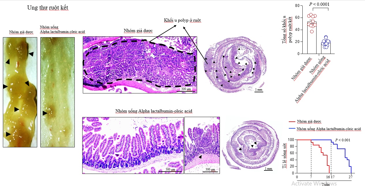
Hình ảnh ung thư ruột kết và tác dụng làm giảm khối u polyp của phức hợp alpha lactalbumin-oleic acid (Hình ảnh khối u được đánh dấu bằng mũi tên màu đen). Ảnh: Nhóm nghiên cứu

Nhóm còn chứng minh được cơ chế phức hợp này có tác dụng tiêu diệt đặc hiệu tế bào nhiễm virus HPV,một trong những nguyên nhân gây ra ung thư cổ tử cung. Bằng cách tấn công và phá hủy RNA thông tin di truyền của virus HPV,phức hợp này khiến cả tế bào nhiễm virus và virus bị chết mà không gây ảnh hưởng đến tế bào lành. Phương pháp điều trị đặc hiệu mới này có tác dụng với các bệnh liên quan đến HPV như sùi mào gà,viêm nhiễm phụ khoa do HPV/vi khuẩn và ung thư cổ tử cung do HPV. HPV hiện nay chưa có thuốc đặc trị. Phát hiện được công bố trên tạp chí y khoa danh tiếng hàng đầu thế giới New England Journal of Medicine.

Hình ảnh u nhú ở người do HPV sau 3 tuần bôi Alpha lactalbumin-oleic acid và tỷ lệ tái phát dưới 2% sau 2 năm. Ảnh: Nhóm nghiên cứu

Cô nói thêm,việc sản xuất phức hợp HAMLET trên quy mô công nghiệp vẫn có nhiều thách thức như phải đạt được độ tinh khiết cao,bền vững,ổn định khi mở rộng quy mô.

Hiện TS Hiền lên kế hoạch đưa công nghệ sản xuất này về Việt Nam nhằm phát triển thuốc ung thư mới với giá thành rẻ hơn so với thuốc nhập khẩu. "Tôi sẵn sàng hợp tác chuyển giao công nghệ cho Việt Nam",cô nói và bày tỏ mong muốn hợp tác với các chuyên gia,bác sĩ,nhà khoa học và các tổ chức thực hiện thử nghiệm lâm sàng cho bệnh nhân ung thư và phát triển sản xuất.

PGS.TS Đỗ Thị Hà,Phó Viện trưởng Viện Dược liệu Thuốc Trung ương,chuyên gia nghiên cứu và phát triển thuốc mới,Bộ Y tế cho biết thuốc hóa trị và xạ trị điều trị ung thư hiện nay phá hủy các tế bào khỏe mạnh và gây ra các tác dụng phụ (như rụng tóc,buồn nôn,đau đớn,rối loạn tạo máu,suy giảm miễn dịch và tổn thương đến thần kinh...). "Các liệu pháp điều trị ung thư mới được các hãng dược lớn sản xuất,đều khá tốn kém,giá thành cao",bà nói và thêm rằng đây là lý do việc tìm kiếm các thuốc điều trị ung thư an toàn,hiệu quả có giá thành hợp lý được nhiều quốc gia không ngừng tìm kiếm.

"Việc phát hiện ra phức hợp HAMLET sẽ mở ra hướng điều trị ung thư trong tương lai nếu chúng ta có thể thực hiện được các thử nghiệm lâm sàng kịp thời",PGS Hà nói. Theo bà,thuốc ung thư mới từ sữa có thể sẽ giải quyết được hai vấn đề lớn là hiệu quả điều trị và tác dụng phụ,đây cũng là thuốc rất tiềm năng trong điều trị dự phòng ung thư trong tương lai gần.

TS Trần Thị Hiền. Ảnh: NVCC

TS Trần Thị Hiền sinh ra trong gia đình làm nông nghèo tại Yên Thế,Bắc Giang. Ban đầu cô dự định theo học ngành Sư phạm ở quê nhà để tiết kiệm chi phí,nhưng rồi một "sự cố" đã đưa Hiền đến với Đại học Dược Hà Nội vào năm 2002. Hiền tìm thấy tình yêu khoa học khi học năm thứ hai và quyết tâm theo đuổi. Cô nhận bằng thạc sĩ và tiến sĩ chuyên ngành độc tính và dược lý miễn dịch tại Khoa Dược,Đại học Chosun,Hàn Quốc. Từ năm 2013,TS Hiền là chuyên gia nghiên cứu cao cấp và giảng dạy tại khoa ung thư miễn dịch,trường Y,Đại học Lund,Thụy Điển. Song song với đó,cô công tác tại Khoa Dược,Đại học Y Dược Thái Bình,thực hiện nghiên cứu khoa học và đào tạo giảng viên từ xa.

Hơn 20 năm làm nghiên cứu,TS Hiền trở thành tác giả và đồng tác giả của 50 bài báo quốc tế,trong đó nhiều công trình đăng trên tạp chí Y khoa hàng đầu thế giới: Nature biotechnology,Nature communications,Nature Reviews Urology và Journal of Clinical Investigation. Cô cũng sở hữu 2 bằng sáng chế quốc tế (cấp năm 2020 và 2021) về phức hợp alpha lactalbumin-oleic acid,cùng 3 bằng sáng chế tại Việt Nam.

Năm 2015,cô giành Giải thưởng nhà khoa học trẻ dưới 35 tuổi của Quỹ L’oreal-Unesco. Năm 2020,nhóm nghiên cứu của cô nhận được quỹ tài trợ European Union's Horizon 2020 của Châu Âu (2 triệu EURO) cho thử nghiệm lâm sàng trên ung thư bàng quang và là nhà khoa học Việt Nam đầu tiên tham gia nghiên cứu và thử nghiệm thành công thuốc ung thư được FDA phê duyệt cho phase 3.

Như Quỳnh

Tuyên bố miễn trừ trách nhiệm: Bài viết này được sao chép từ các phương tiện khác. Mục đích của việc in lại là để truyền tải thêm thông tin. Điều đó không có nghĩa là trang web này đồng ý với quan điểm của nó và chịu trách nhiệm về tính xác thực của nó và không chịu bất kỳ trách nhiệm pháp lý nào. Tất cả tài nguyên trên trang web này được thu thập trên Internet. Mục đích chia sẻ chỉ dành cho việc học và tham khảo của mọi người. Nếu có vi phạm bản quyền hoặc sở hữu trí tuệ, vui lòng để lại tin nhắn cho chúng tôi.
© Bản quyền 2009-2020 Báo kinh tế việt nam      Liên lạc với chúng tôi   SiteMap